Cutaneous metastases are an infrequent manifestation of internal malignancies, with an estimated incidence of 2.9%.1 Skin involvement in urothelial carcinomas is exceptional, occurring in approximately 1% of cases, either concomitantly with or up to one year after the diagnosis of the primary tumor. Its relevance lies in the ominous survival prognosis it implies if confirmed.1
We report the case of an 87-year-old man with a history of right testicular seminoma treated with orchiectomy and underlying alcoholic liver cirrhosis, who presented with one year of recurrent hematuria. A CT urogram revealed a dilatation and an emptying defect in the proximal third of the left ureter, which was suggestive of urothelial carcinoma. Due to the COVID-19 pandemic, the patient returned two years later with a painful, progressively enlarging mass in the left pubic region adjacent to the base of the penis, without bleeding or discharge.
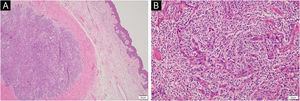
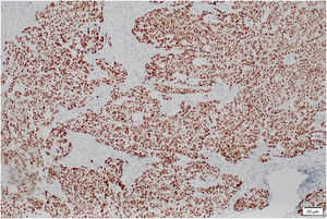
He was referred to the Dermatology Department, where physical examination revealed a pink, exophytic tumor with well-defined borders and surface scaling, measuring 2.5 × 2.0 cm (Fig. 1A). Dermoscopic evaluation showed a central keratin mass on a pink, structureless background, accompanied by white clods, erosions, and sparse fine irregular linear vessels (Fig. 1B). Based on these features, a provisional diagnosis of squamous cell carcinoma was made. However, excisional biopsy followed by histopathological examination revealed an undifferentiated carcinoma (Fig. 2), with positive immunohistochemical staining for GATA-3 (clone L50-823; Fig. 3) and negative staining for CK7 (clone SP52), CK20 (clone SP33), vimentin (clone V9), S-100 (clone 4C4.9), and OCT-4 (clone MRQ-10), findings consistent with a urothelial origin. A subsequent radical nephroureterectomy confirmed a high-grade papillary urothelial carcinoma with probable lamina propria invasion, thus confirming the primary tumor.
(A) Clinical image: Erythematous tumor with surface scaling located in the pubic region. (B) Dermoscopic image: Central keratin mass (black arrows), whitish areas (red arrows), erosions (green circle), and irregular, fine linear vessels (yellow arrow). (Illuco IDSfe-1100, 10×, polarized mode).
Histopathological study: (A) The epidermis shows hyperkeratosis and parakeratosis. A neoplasm arranged in nests infiltrates the dermis and hypodermis (Hematoxylin & eosin, 4×). (B) The neoplasm is composed of large cells with a high nucleus-to-cytoplasm ratio, moderate pleomorphism, and irregular nuclei. Up to five mitotic figures are observed per 10 high-power fields (Hematoxylin & eosin, 20×).
Bladder cancer is the ninth most common cancer worldwide and the thirteenth leading cause of cancer-related mortality, with an incidence rate of 5.6 per 100,000 individuals.2 Approximately 90% of urothelial carcinomas arise from the epithelium lining the urethra, bladder, ureters, and renal pelvis. The 5-year survival rate reaches 96% when diagnosed in early stages, but drops dramatically to 4.6% in the presence of metastases.3 These occur in about 5% of cases and typically affect the lymph nodes, bone, liver, and lungs.
Cutaneous metastases from urothelial carcinomas are rare, with bladder cancer accounting for approximately 0.84% of all cutaneous metastases.4,5 Dissemination may occur via direct extension, lymphatic or hematogenous spread, or iatrogenic implantation during surgery ‒ the latter being the most frequently reported mechanism.3,6 Risk factors include muscle invasion, high histologic grade, poor differentiation, and large tumor size.7 Clinically, three patterns of presentation have been described: infiltrative plaques or nodules, sclerotic lesions, and inflammatory-appearing lesions.8 The classic manifestation is a multinodular plaque on the anterior abdominal wall.9
Diagnosis is confirmed by histological examination with immunohistochemical support, with GATA-3 serving as a reliable marker of urothelial origin. Coexpression of CK7 and CK20 is observed in 89% of cases,7 while Uroplakin III positivity has been reported in 50%‒80% of cutaneous metastases from urothelial carcinomas.1 First-line treatment is surgical, when possible, and the first-line chemotherapy typically consists of gemcitabine/cisplatin-based chemotherapy, with methotrexate/vinblastine/doxorubicin/cisplatin as a second-line option.6,10
In conclusion, reports of cutaneous metastases from urothelial carcinoma are scarce and mostly limited to bladder cancer. To our knowledge, no previous cases of cutaneous metastasis originating from a ureteral urothelial carcinoma have been reported. Clinical presentation is often nonspecific and can mimic primary skin malignancies, inflammatory conditions, or other dermatoses.9 Accurate identification of these lesions and other potential metastatic sites is essential, as the prognosis remains poor regardless of the treatment, which is typically palliative.6,9
This case represents the first report of a cutaneous metastasis from a primary ureteral urothelial carcinoma. Notably, its clinical presentation mimicked a squamous cell carcinoma, diverging from the classic description of anterior abdominal wall multinodular plaques.
ORCID IDMartín Céspede-Núñez: 0009-0003-0634-4306
Jonathan Stevens: 0000-0002-0100-528X
Andrea Solari: 0000-0002-4848-9488
Cecilia Jeraldo: 0000-0001-9462-1235
Research data availabilityDoes not apply.
Financial supportThis research did not receive any specific grant from funding agencies in the public, comercial, or not-for-profit sectors.
Authors' contributionsMartín Céspede Núñez: Data collection; writing of the manuscript and critical review of important intellectual content; critical review of the literature; final approval of the final version of the manuscript.
Jonathan Stevens Gonzalez: Data collection; writing of the manuscript and critical review of important intellectual content; intellectual participation in the therapeutic conduct of the studied case; critical review of the literature; final approval of the final version of the manuscript.
Andrea Solari del Sol: Data collection; writing of the manuscript and critical review of important intellectual content; intellectual participation in the therapeutic conduct of the studied case; critical review of the literature; final approval of the final version of the manuscript.
Cecilia Jeraldo Romero: Data collection; writing of the manuscript and critical review of important intellectual content; intellectual participation in the therapeutic conduct of the studied case; critical review of the literature; final approval of the final version of the manuscript.
Conflicts of interestNone declared.
Study conducted at the Hospital del Salvador, Santiago, Chile.

