Nevus sebaceous is the most common type of organoid epidermal nevus, often located on the face, following the Blaschko’s lines and with alterations in the ipsilateral central nervous system. Distinct disorders can be distinguished by the type of association with epidermal nevus. Schimmelpenning-Feuerstein-Mims syndrome is a rare multisystem disorder characterized by sebaceous nevus associated with extracutaneous abnormalities affecting the brain, eyes and bones. We report the case of an 8-year-old female patient with a yellowish verrucous plaque on the left temporal area extending ipsilaterally to the cervical region, combined with cicatricial alopecia, periocular nodule, and epibulbar tumors.
An 8-year-old female patient presented since birth with a yellowish verrucous plaque on the left temporal area that extended to the ipsilateral cervical region, associated with cicatricial alopecia, dolichocephaly, left periocular nodule, and epibulbar tumors (Figure 1). The patient was born to a twin pregnancy, and no complications were recorded during prenatal care. Delivery was by uncomplicated cesarean section, and both twins were in good physical condition at birth (Figure 2).
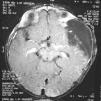
At three months of age, after an epileptic seizure, a 6 by 5 cm arachnoid cyst was discovered in the patient’s left middle cranial fossa (Figure 3). A cyst-peritoneal shunt was performed, and treatment was initiated with carbamazepine. Histopathology of the facial lesion confirmed Jadassohn’s sebaceous nevus (Figure 4). The patient currently presents a mild cognitive deficit and loss of visual acuity on the left. His twin sister is healthy.
DiscussionNevus sebaceous (NS) is the most common type of organoid epidermal nevus.1,2 Epidermal nevus syndromes (ENS) are a group of distinct disorders that can be distinguished by the type of association with epidermal nevus. Schimmelpenning–Feuerstein–Mims syndrome is a rare multisystem disorder characterized by NS associated with extracutaneous anomalies.2-4
In 1957, Gustav Schimmelpenning first detailed epidermal nevus with neurological anomalies. Thereafter, Feuerstein and Mims reported a case of linear nevus, epilepsy, and mental retardation in 1962. Since then, the classic triad of linear nevus sebaceous syndrome (NS, seizures, and mental retardation) has been applied widely.3 However, a number of studies have shown that the association of the syndromes extends well beyond the initially proposed triad.2-6 Genitourinary (horseshoe kidney and duplicated urinary collecting system), cardiovascular (ventricular septal defect, coarctation of the aorta, aortic hypoplasia), endocrine (hypophosphatemic rickets), and dental alterations (hemi-hyperplasia of the tongue, bone cysts, aplasia of the teeth, hypoplastic enamel), and neoplasms (basal cell carcinoma) may be present.2 Thus, the use of the triad as the sole diagnostic criterion has been abandoned.2,3
Our patient presents NS, seizures, and cognitive deficit (classic triad), but also has a craniofacial defect (dolicocephaly), arachnoid cyst, and ocular abnormalities (epibulbar tumors).
The etiology of SSFM is still unknown, but genomic mosaicism has been proposed. According to this theory, genetic alterations are present in only some of the body’s cells, most likely due to the mutation of a gene that occurs after fertilization (postzygotic mutation).7,8 The involvement of only one of the twin sisters in the present case supports this hypothesis. Postzygotic mutations have been described in the HRAS gene (chromosome 11p15), NRAS (chromosome 1p13), and KRAS (chromosome 12p12).7,8
The differential diagnoses are phacomatosis pigmentokeratotica, nevus comedonicus syndrome, and Proteus syndrome.3,9,10
NS is the main characteristic and diagnostic criterion for SSFM. The lesion presents as a hamartoma with epidermal, follicular, sebaceous, and apocrine elements and occurs in approximately 0.3% of newborns. Based on the evidence accumulated to date, there is no need to remove NS as a prophylactic measure, since the risk of developing malignant neoplasia is lower than previously estimated. We thus adopted an expectant approach in the current case.2,3,9
AcknowledgmentsThe authors wish to thank the faculty of Universidade Estadual de Londrina.





