Leiomiomas cutâneos são tumores benignos raros do músculo liso. Esses tumores são mais relatados em mulheres de meia‐idade, com razão sexual aproximada (feminino:masculino) de 3:1,6. São lesões diferenciadas com base na célula de origem e classificadas em leiomioma pilar, angioleiomioma e leiomioma do tipo genital. O objetivo do presente estudo é relatar dois casos de leiomiomas areolares e discutir seus aspectos diagnósticos.
Caso 1Paciente do sexo feminino, de 50 anos, encaminhada por dermatologista para serviço de referência com pedido de biopsia de lesão em aréola mamária esquerda. Paciente sem comorbidades prévias conhecidas. Negava sintomas associados como dor, sangramento ou secreção. Ao exame físico, visualizou‐se lesão nodular, arredondada, medindo cerca de 1,5cm de diâmetro, com superfície irregular e coloração parda, localizada na borda látero‐superior de aréola mamária esquerda (fig. 1). Na dermatoscopia, vista área central esbranquiçada‐amarelada e, na periferia, rede pigmentada discreta. Foi aventada a hipótese diagnóstica de cisto epidérmico ou dermatofibroma.
Caso 2Paciente do sexo feminino, de 68 anos, apresentando lesão em aréola mamária esquerda, sem sintomas associados. Ao exame físico, apresentava lesão nodular e hipercrômica localizada às 10 horas em aréola mamária esquerda. Foi aventada a hipótese diagnóstica de cisto epidérmico ou fibrose cicatricial.
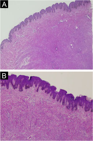
Histologicamente, as lesões apresentaram‐se como proliferação de células musculares lisas formando feixes interseccionados com escasso tecido conjuntivo interveniente. As células apresentavam núcleos alongados e citoplasma eosinofílico afilado (figs. 2 e 3). Não foram observadas atipias citológicas e figuras de mitose. Na imuno‐histoquímica houve positividade para desmina e actina de músculo liso nos dois casos (figs. 4 e 5). É importante diferenciar do leiomiossarcoma cutâneo, entidade que demonstra hipercelularidade, atipia celular e alto índice mitótico. A expressão difusa dos marcadores de músculo liso, como desmina e SMA, também ajudam a identificar os leiomiomas e distingui‐los de outras entidades.
Leiomiomas cutâneos são tumores benignos raros do músculo liso, com poucos casos reportados desde a primeira descrição feita por Virchow, em 1854;1,2 têm apresentação clínica heterogênea e são comumente esquecidos como hipótese diagnóstica.3 Os leiomiomas cutâneos podem ser alocados em três categorias, de acordo com as fibras musculares de origem: os piloleiomiomas (originários das fibras musculares do músculo eretor do pelo e o subtipo mais comum), os angioleiomiomas (originando‐se da túnica média dos vasos sanguíneos, segundo em prevalência) e os leiomiomas dartoicos ou genitais (originários dos músculos lisos do escroto, mamilo, aréola ou vulva e de apresentação mais rara). Dentre os leiomiomas genitais, aqueles localizados sobre mamilos e aréolas são ainda mais raros, com escassa literatura disponível sobre ele.4,5
O leiomioma do mamilo é neoplasia benigna muito rara, descrita pela primeira vez por Virchow em 1854.2 A origem do leiomioma no mamilo e no parênquima, segundo Kaufman et al., seria das células musculares lisas que circundam os capilares no tecido subcutâneo da mama.6 Já Diaz‐Arias et al. sugeriram que a origem desses tumores pode ser: a) teratoide, origem por extenso supercrescimento dos elementos miomatosos; b) deslocamento embriológico do músculo liso do mamilo; c) músculo liso angiomatoso; d) células mesenquimais multipotentes; e e) células mioepiteliais.7 Sua apresentação é heterogênea, dependendo de seu tipo histológico e podendo abrir uma gama de possíveis diagnósticos diferenciais, principalmente se lesão solitária. O leiomioma genital apresenta‐se mais caracteristicamente como lesão papulonodular, esporadicamente pedunculada, única, menor que 2cm e indolor, principalmente no escroto, pênis e vulva, podendo acometer o complexo mamilo‐areolar e raramente envolve ambas as mamas.3,8
Clinicamente, leiomiomas cutâneos, principalmente os piloleiomiomas, apresentam‐se, em geral, como pápulas ou nódulos, firmes, podendo ser múltiplos ou únicos, cor da pele ou róseos, com tamanho variando entre 0,2mm e 2cm. Podem ter sensibilidade aumentada e até dor em virtude da contração muscular e compressão de fibras nervosas locais. Se múltiplos, podem se organizar seguindo linhas de Blaschko8,9 e devem levar à suspeição clínica da síndrome de leiomiomatose hereditária e carcinoma de células renais (HLRCC), doença hereditária autossômica dominante rara causada pela mutação heterozigótica da linha germinativa do gene que codifica a fumarato hidratase (FH) e que é caracterizada pelo risco de desenvolvimento de piloleiomiomas cutâneos, leiomiomas uterinos e carcinoma papilar de células renais tipo 2.10
A remoção cirúrgica é vista como abordagem curativa para os leiomiomas cutâneos. Outras formas de tratamento envolvem opções medicamentosas visando o controle sintomático, como bloqueadores de canais de cálcio ou métodos destrutivos, como o uso de crioterapia ou laser.9
Leiomiomas cutâneos são considerados tumores benignos raros do músculo liso, e classificados de acordo com as fibras musculares de origem; os leiomiomas genitais são o tipo menos comum. Relatamos dois casos em que a localização na aréola mamária os torna ainda mais raros.
Suporte financeiroNenhum.
Contribuição dos autoresMariana Abdo de Almeida: Aprovação da versão final do manuscrito; concepção e planejamento do estudo; elaboração e redação do manuscrito; obtenção, análise e interpretação dos dados; participação efetiva na orientação da pesquisa; participação intelectual em conduta propedêutica e/ou terapêutica de casos estudados; revisão crítica da literatura; revisão crítica do manuscrito.
Neusa Yuriko Sakai Valente: Aprovação da versão final do manuscrito; concepção e planejamento do estudo; elaboração e redação do manuscrito; obtenção, análise e interpretação dos dados; participação efetiva na orientação da pesquisa; participação intelectual em conduta propedêutica e/ou terapêutica de casos estudados; revisão crítica da literatura; revisão crítica do manuscrito.
Thaiz Brandão Cosac: Aprovação da versão final do manuscrito; concepção e planejamento do estudo; elaboração e redação do manuscrito; obtenção, análise e interpretação dos dados; participação intelectual em conduta propedêutica e/ou terapêutica de casos estudados; revisão crítica da literatura; revisão crítica do manuscrito.
Disponibilidade de dados de pesquisaNão se aplica.
Conflito de interessesNenhum.
EditorHiram Larangeira de Almeida Jr.






